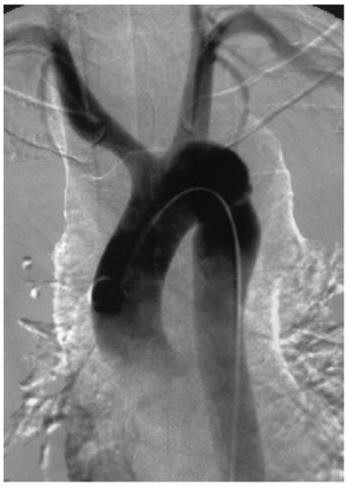
Аортография
Аортография — это методика рентгенологического исследования аорты, основанная на получении комплексного изображения аорты вследствие заполнения её контрастным веществом. Главным инструментом в данном случае выступает радиоактивное излучение, с помощью которого производятся снимки наполненных рентгенконтрастной жидкостью сосудов.
Диагностические возможности метода находятся в прямой зависимости от вида аортографии. Выделяют 2 типа исследования аорты:
- грудная аортография. Применяется для функциональной и морфологической диагностики опухолевых заболеваний лёгких, заболеваний аорты и отходящих от неё ветвей.

- Брюшная аортография. Используется для получения дополнительной диагностической информации при заболеваниях почек, кишечника, печени, селезёнки, мочевого пузыря и матки.

Показания.
-
сужение аорты;
-
открытый артериальный проток;
-
поражения ветвей аорты с их закупоркой;
-
аневризма и расслоение аорты;
-
стеноз устья аорты;
-
опухоль средостения;
-
недостаточность клапана аорты;
-
аномалии локализации дуги аорты;
-
исследование во время подготовки к хирургической операции.
Противопоказания.
-
почечная и печёночная недостаточность в острой форме;
-
инфекционное заболевание;
-
открытая фаза активного туберкулёза;
-
аллергия на йодсодержащие препараты;
-
беременность.
Подготовка.
В день проведения рентгенологического исследования аорты запрещается что-либо есть. Аортография выполняется только натощак. Также накануне процедуры рекомендуется сделать очистительную клизму. Предполагаемое место введения катетера необходимо очистить от волос.
Непосредственно перед исследованием у пациента берут пробу на аллергические реакции и проводят локальную анестезию.
Методика проведения.
При сохранении пульсации артерии в бедренной части прокол осуществляется именно там (методика Сельдингера). В полученный прокол вставляется тонкий струнообразный проводник, посредством которого в дальнейшем вводится катетер. Проводник извлекается, а катетер проводится непосредственно в аорту. После этого производится введение рентгенконтрастного препарата. Далее с помощью рентгеновского аппарата выполняется ряд снимков исследуемой области, после чего катетер удаляется, а на место прокола накладывают асептическую давящую повязку для предотвращения кровотечения. Полученные снимки хранятся на жёстком диске компьютера, что позволяет врачу обращаться к ним в любой момент.
При непроходимости артерии в бедренной части катетер устанавливается в плечевую либо лучевую артерии.