Висцеральных ветвей аорты
Ангиография висцеральных ветвей аорты
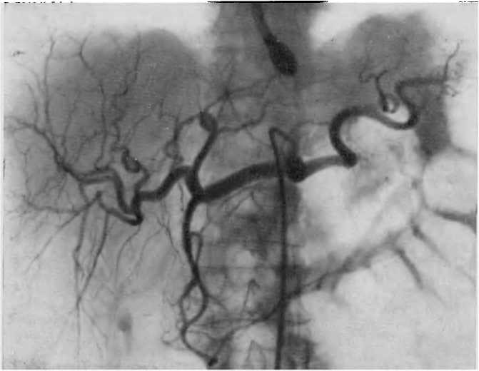
Для тщательного изучения состояния органов, расположенных в брюшной полости, применяется ангиография висцеральных ветвей аорты(сосудов брюшной полости)
Она позволяет выявить патологии органов, нарушения в работе либо структуре сосудов. Показаниями к процедуре служат подозрения на наличие дисфункций и новообразований в органах и сосудах.
Ангиография сосудов брюшной полости должна проводиться на пустой желудок, поэтому за 8 часов до нее рекомендуется воздержаться от приема пищи, а непосредственно перед ангиографией нужно опорожнить кишечник и мочевой пузырь, в обязательном порядке снять все металлические предметы.
Чтобы исследование было достоверным и точным, пациенту нужно лежать неподвижно. Если это по каким-то причинам невозможно, практикуется фиксация человека.
Исследование проводится при повреждениях органов забрюшинного пространства и брюшной полости после травм либо как следствие хронических заболеваний (портальной гипертензии, цирроза печени). Кроме того, показаниями к процедуре также служат:
-
кровотечения в ЖКТ;
-
наличие новообразований, как доброкачественных, так и злокачественных;
-
патологии сосудов.
Ангиография предполагает введение катетера через бедренную, лучевую либо плечевую артерию. Затем катетер устанавливают в брюшной аорте либо брыжеечных артериях и начинают осуществлять снимки.
Экстренная ангиография
Ангиография висцеральных ветвей аорты может проводиться внепланово, например, после несчастных случаев, аварий, серьезных травм. Учитывается наличие подозрений на следующие аспекты:
-
расслаивание аневризмы брюшной аорты;
-
мезентериальный тромбоз;
-
кровотечения неясной природы;
-
разрыв паренхиматозных органов (почки, селезенка, печень).
Тем не менее, экстренное ангиографическое исследование применяется лишь в тех случаях, когда врач уверен, что все другие методы исчерпаны. Кроме того, при подозрении на повреждение полого органа процедура не рекомендуется.
Осложнения
Как и любое инвазивное исследование, ангиография брюшной полости может закончиться неприятными последствиями:
-
аллергические реакции на контраст;
-
повреждение стенок сосуда;
-
боль, отек в месте прокола;
-
кровотечение;
-
острая почечная или печеночная недостаточность;
-
нарушение ритма сердца.
Чтобы избежать некоторых из них, перед процедурой тщательно изучается анамнез и проводится беседа с пациентом, а во время самой ангиографии обязательно присутствует кардиолог и реаниматолог.
