Каваграфия

Поделиться статьей в соцсетях:

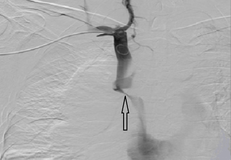
Каваграфия – это ангиография полой вены, метод рентгенологической диагностики, который заключается в введении контрастного вещества в полую вену и выполнении серии снимков. Метод позволяет оценить состояние полой вены и отходящих от неё сосудов, обнаружить вовлечение ветвей полой вены в заболевания органов и тканей, через которые они проходят (опухоли забрюшинного пространства, опухоли средостения). Выделяют верхнюю каваграфию, при которой контраст вводится в верхнюю полую вену и нижнюю, когда контрастным веществом заполняют нижнюю полую вену.

Критический стеноз верхней полой вены

Показания к выполнению:

  • Наличие тромбов в подвздошной вене.
  • Тромбоз нижней полой вены.
  • Эпизоды тромбоэмболии легочной артерии в анамнезе, которые проявлялись у пациента кровохарканьем.
  • Диагностика рака почек, опухолей средостения и забрюшинного пространства.

Противопоказания :

  • Острое инфекционное заболевание.
  • Аллергические реакции на препараты йода в анамнезе.
  • Недостаточность функции почек.
  • Недостаточность функции печени.

При подготовке к исследованию выполняется обследование:

  • общий анализ крови
  • коагулограмма
  • биохимический анализ крови
  • группа крови и резус-фактор
  • ЭКГ (12 отведений)
  • ЭхоКГ (УЗИ сердца)
  • Каваграфия проводится натощак, последний приём пищи за восемь часов до процедуры

Методика выполнения

Во время выполнения каваграфии пациент лежит на операционном столе. Перед началом исследования выполняют местную анестезию.

При верхней каваграфии катетер вводят в левую подключичную вену, предварительно выполнив пункцию её стенки. При нижней каваграфии рентгеноконтрастное вещество вводят через бедренную вену или через большую подкожную вену в области верхней трети бедра или коленного сустава. При этом можно получить изображение нижней полой и подвздошной вены.

Во время введения контрастного вещества в вены у пациента может появляться чувство прилива крови к лицу, ощущение дискомфорта. Одновременно с введением контраста выполняется скоростная рентгеновская съёмка в двух проекциях. В результате получается серия снимков, которые можно хранить в памяти компьютера и просматривать повторно.

После завершения каваграфии катетер удаляют, а место пункции сосуда тщательно прижимают, чтобы не допустить кровотечения. Затем накладывают асептическую давящую повязку.

Интерпретация результатов каваграфии

  • По результатам каваграфии можно оценить состояние вен исследуемой области, наличие сужений, расширений, тромбы в венах. Кроме того, при каваграфии определяется сдавление вен опухолями средостения, органов забрюшинного пространства.
  • При опухолях почек каваграфия информативна, если опухоль сжимает сосуд или опухолевый тромб распространяется из почечных вен в нижнюю полую вену.
  • Каваграфия является одним из методов диагностики глюкостеромы – опухоли пучковой зоны коры надпочечников. В урологии метод широко применяют для диагностики опухолей яичек.