Магистральных артерий головы

Поделиться статьей в соцсетях:

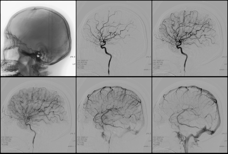
Ангиография магистральных артерий головы – это инструментальный метод исследования, позволяющий в буквальном смысле слова «увидеть» сосуды головного мозга. Для проведения исследования необходимо введение в соответствующий сосуд головного мозга контрастного вещества и наличие рентгеновского аппарата, с помощью которого будет зафиксировано изображение сосудов, заполненных этим контрастом. Ангиография сосудов головного мозга – это не рутинный метод диагностики, у него имеются свои показания и противопоказания, а также, к сожалению, и осложнения. Ангиография в широком смысле – это получение изображения любых сосудов организма с помощью рентгеновских лучей. Ангиография сосудов головного мозга – это лишь одна из разновидностей этого обширного метода исследования. 

В чем заключается ангиография сосудов головного мозга?

27.jpg 

Суть этого метода исследования заключается в следующем. Больному в определенную артерию головного мозга (или всю сеть артерий мозга) вводится рентгенконтрастное вещество, обычно на основе йода (Оптирей, Омнипак, Ультравист и другие). Это делается для того, чтобы можно было с помощью рентгеновского излучения зафиксировать изображение сосуда, поскольку при обычном снимке сосуды плохо визуализируются. Введение рентгенконтрастного вещества возможно путем пункции соответствующей артерии через катетер, подведенный к необходимому сосуду с периферии (обычно из бедренной артерии). Когда контрастное вещество оказывается в сосудистом русле, производится серия рентгеновских снимков в двух проекциях Полученные снимки оцениваются врачом и делаются выводы о наличии либо отсутствии определенной патологии сосудов головного мозга.

 

 

Показания к проведению

Ангиография магистральных артерий головы – это специализированный метод диагностики, назначать который должен только врач. Его не выполняют по желанию пациента. Основными показаниями являются:

•    подозрение на артериальную аневризму сосудов головного мозга;

•    подозрение на артериовенозную мальформацию;

•    определение степени стеноза (сужения) или окклюзии (закупорки) сосудов головного мозга, то есть установление просвета соответствующих сосудов. В этом случае устанавливается выраженность атеросклеротических изменений в сосудах и необходимость последующего оперативного вмешательства;

•    установление взаимоотношений сосудов головного мозга с расположенной рядом опухолью для планирования операционного доступа;

•    контроль расположения клипс, наложенных на сосуды головного мозга.

Хотелось бы отметить, что просто жалобы на головокружение, головную боль, шум в ушах и тому подобное сами по себе не являются показанием к проведению ангиографии. Пациенты с такой симптоматикой должны быть осмотрены неврологом, и по результатам осмотра, а также других методов исследования, определяется необходимость проведения ангиографии. Эту необходимость устанавливает врач! 

Противопоказания

Основными противопоказаниями являются:

•    аллергическая реакция (непереносимость) на препараты йода и другие рентгенконтрастные вещества;

•    беременность (в связи с ионизирующим излучением во время процедуры). В таком случае возможно проведение МР-ангиографии;

•    психические заболевания, которые не позволяют соблюсти все условия проведения процедуры (например, человек не сможет не шевелиться во время снимка);

•    острые инфекционные и воспалительные заболевания (так как повышается риск осложнений);

•    нарушение показателей свертывающей системы крови (как в сторону снижения, так и в сторону повышения);

•    общее состояние больного, расцениваемое как тяжелое (это может быть сердечная недостаточность III степени, терминальные стадии почечной и печеночной недостаточности, кома и так далее). По существу, эта подгруппа противопоказаний является относительной.

Подготовка к ангиографии

Для получения точных результатов и снижения риска осложнений от процедуры рекомендуется:

•    сдать общий и биохимический анализы крови, в том числе – определить показатели свертывающей системы (срок давности анализов не должен превышать 5 дней). Также определяются группа крови и резус-фактор на случай возможных осложнений;

•    сделать ЭКГ и ФГ (ФГ, если таковая не проводилась в течение последнего года);

•    в течение 14 дней не употреблять алкогольные напитки;

•    в течение последней недели не принимать препараты, влияющие на свертываемость крови;

•    выполнить аллергическую пробу с контрастным веществом. Для этого за 1-2 дня внутривенно пациенту вводят 0,1 мл соответствующего препарата и оценивают реакцию (появление зуда, сыпи, затруднений дыхания и тому подобное). В случае возникновения реакции процедура противопоказана!

•    накануне принять антигистаминные (противоаллергические) препараты и транквилизаторы (при необходимости и только по назначению врача!);

•    не есть в течение 8 часов и не пить воду за 4 часа до исследования;

•    искупаться и побрить (при необходимости) место пункции или катетеризации сосуда;

•    перед самим исследованием снять все металлические предметы (заколки, украшения).   

Техника проведения исследования

В самом начале пациент подписывает согласие на проведение данного вида исследования. Пациенту ставят внутривенный периферический катетер, чтобы иметь мгновенный доступ к кровеносной системе. Затем проводят премедикацию (приблизительно за 20-30 минут до процедуры): вводятся антигистаминные препараты, транквилизаторы, обезболивающие, чтобы свести к минимуму неприятные ощущения во время процедуры и риск осложнений.

Пациент укладывается на стол и подключается к приборам (кардиомонитор, пульсоксиметр). После обработки кожи местным анестетиком и обезболивания производится прокол соответствующего сосуда. Осуществляется небольшой разрез кожи и прокол бедренной артерии с последующим погружением катетера и проведением его по сосудам к месту исследования. Продвижение катетера по артериальному руслу не сопровождается болью, поскольку внутренняя стенка сосудов лишена болевых рецепторов. Контроль продвижения катетера производят с помощью рентгена. Когда катетер будет подведен к устью необходимого сосуда, через него вводится предварительно подогретый до температуры тела контрастный препарат в объеме 8-10 мл. Введение контраста может сопровождаться появлением металлического привкуса во рту, чувством жара, прилива крови к лицу. Эти ощущения самостоятельно проходят в течение нескольких минут. После введения контраста производятся рентгеновские снимки в нескольких проекциях почти каждую секунду несколько раз (что позволяет увидеть и артерии, и капиллярную фазу, и вены). Затем катетер удаляют, на место пункции сосуда накладывают давящую стерильную повязку. За пациентом должен наблюдать медицинский персонал как минимум в течение 6-10 часов.

Осложнения

Согласно статистическим данным, осложнения в ходе проведения этого метода диагностики возникают в 0,4-3% случаев, то есть не так уж и часто. Их возникновение может быть связано как с самой процедурой проведения (например, истечение крови из места прокола сосуда), так и с использованием контрастного вещества. Следует иметь в виду, что соблюдение всех условий при подготовке и проведении ангиографии является профилактикой возможных осложнений.

Итак, возможными осложнениями ангиографии сосудов головного мозга являются:

•    рвота;

•    аллергическая реакция на йодсодержащий препарат: зуд, отек и покраснение в месте введения препарата, а затем появление одышки (рефлекторное расстройство дыхания), падение АД, нарушение сердечного ритма. В тяжелых случаях возможно развитие анафилактического шока, что является угрожающим жизни состоянием;

•    спазм сосудов головного мозга и, как следствие, острое нарушение мозгового кровообращения (вплоть до инсульта);

•    судорожные припадки;

•    попадание контрастного вещества в мягкие ткани в зоне прокола сосуда (вне сосудистого русла). Если объем вылившегося в ткани препарата составляет до 10 мл, то последствия минимальны, если же больше – то развивается воспаление кожи и подкожно-жировой клетчатки;