Артерий таза и нижних конечностей
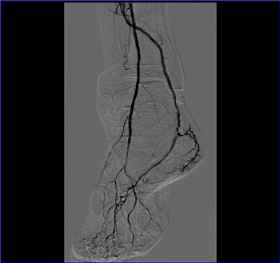
Ангиография артерий таза и нижних конечностей — метод визуализации просвета артерий путём введения в них через катетер рентгеноконтрастного вещества и одновременной рентгеноскопии (видеозаписи рентгеновской съемки), с фиксацией и обработкой полученного изображения на специальном оборудовании. При этом специалист получает объективную информацию об анатомическом строении сосудистого русла исследуемой области, скорости кровотока, наличии стенозов (сужений) и окклюзий (полной закупорки), степени развития коллатерального кровообращения в исследуемой конечности.
На основании этой информации консилиумом врачей выставляются показания к операции и и определяется этапность лечения, с учётом всего комплекса предоперационного обследования производится выбор метода реваскуляризации (открытое шунтирующее, эндоваскулярное или гибридное вмешательство).
С целью снижения риска осложнений мы выполняем ангиографию чаще всего через периферический лучевой доступ на руке, который позволяет пациенту сразу после процедуры начать ходить.
Противопоказания к ангиографии
Абсолютных противопоказаний нет. К относительным можно отнести: ангиография противопоказана при беременности, ОРВИ, психических заболеваниях, выраженной сердечной недостаточности, почечной недостаточности, декомпенсированной печёночной недостаточности, аллергии на препараты йода, нарушениях свёртываемости крови.
Подготовка к ангиографии
Подготовка к ангигографии заключается в стандартной предоперационной подготовке: бритъё мест доступа к артериям (обычно плечо, предплечье или пах), голод с утра перед операцией.
С целью обезболивания пациентов с критической ишемией нижних конечностей и получения качественных снимков выполняется регионарная анестезия (спинальная или эпидуральная).
Техника выполнения
Ангиография выполняется врачом-рентгенэндоваскулярным хирургом в стерильной рентгеноперационной и стерильными расходными материалами. На протяжении всего исследования осуществляется анестезиологический мониторинг.
Под местной анестезией выполняется пункция артерии руки или ноги, после чего в её просвет заводится тонкий катетер, по которому вводится рентгеноконтрастное вещество. Во время исследования пациент может ощущать тепло по ходу введения контраста, очень редко может быть болезненность. Продолжительность собственно ангиографии 10-15 минут.
При выполнении ангиографии специалист получает объективную и точную информацию о строении и поражении артериального русла исследуемой области. Полученные изображения сохраняются в электронном виде и впоследствии могут быть записаны на диск и отданы на руки пациенту.
После исследования катетеры извлекаются, кровотечение из артерии останавливается прижатием места пункции. Давящая повязка снимается на следующий день, тогда же пациенту разрешается ходить, и он может быть выписан домой.
Возможные осложнения ангиографии
Как правило, осложнений после ангиографии не бывает. Однако, в связи с тем, что это исследование является инвазивным (проникающим через естественные внешние барьеры организма) и сопровождается введением рентгеноконтрастного вещества в системный кровоток, всё же могут развиться связанные с этим осложнения: контраст-индуцированная нефропатия, кровотечения, гематомы и ложные аневризмы в местах артериальных доступов, местные инфекционные осложнения, аллергические реакции на контраст.
